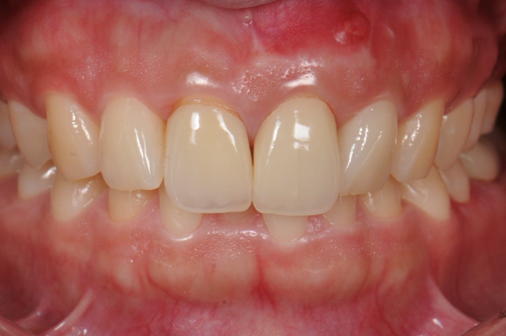
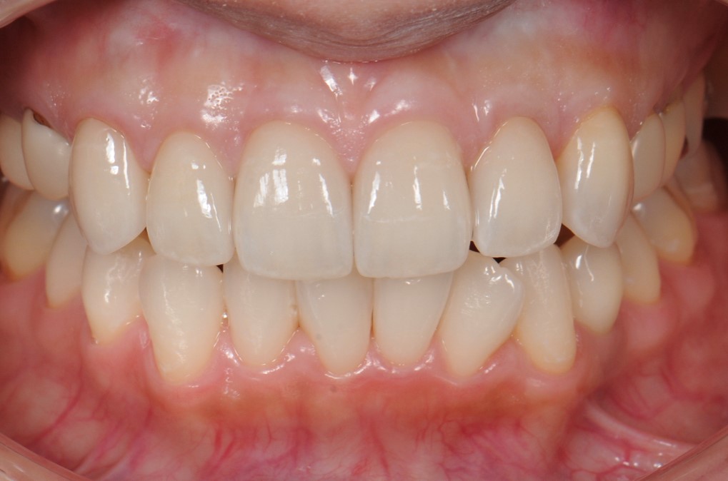
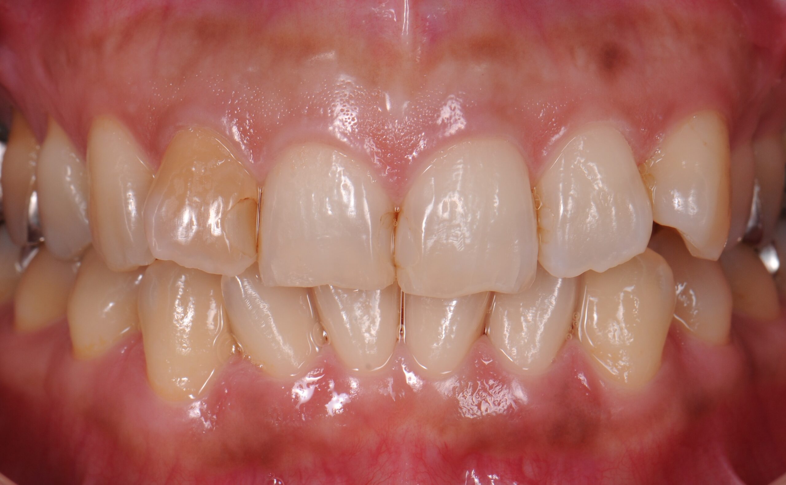
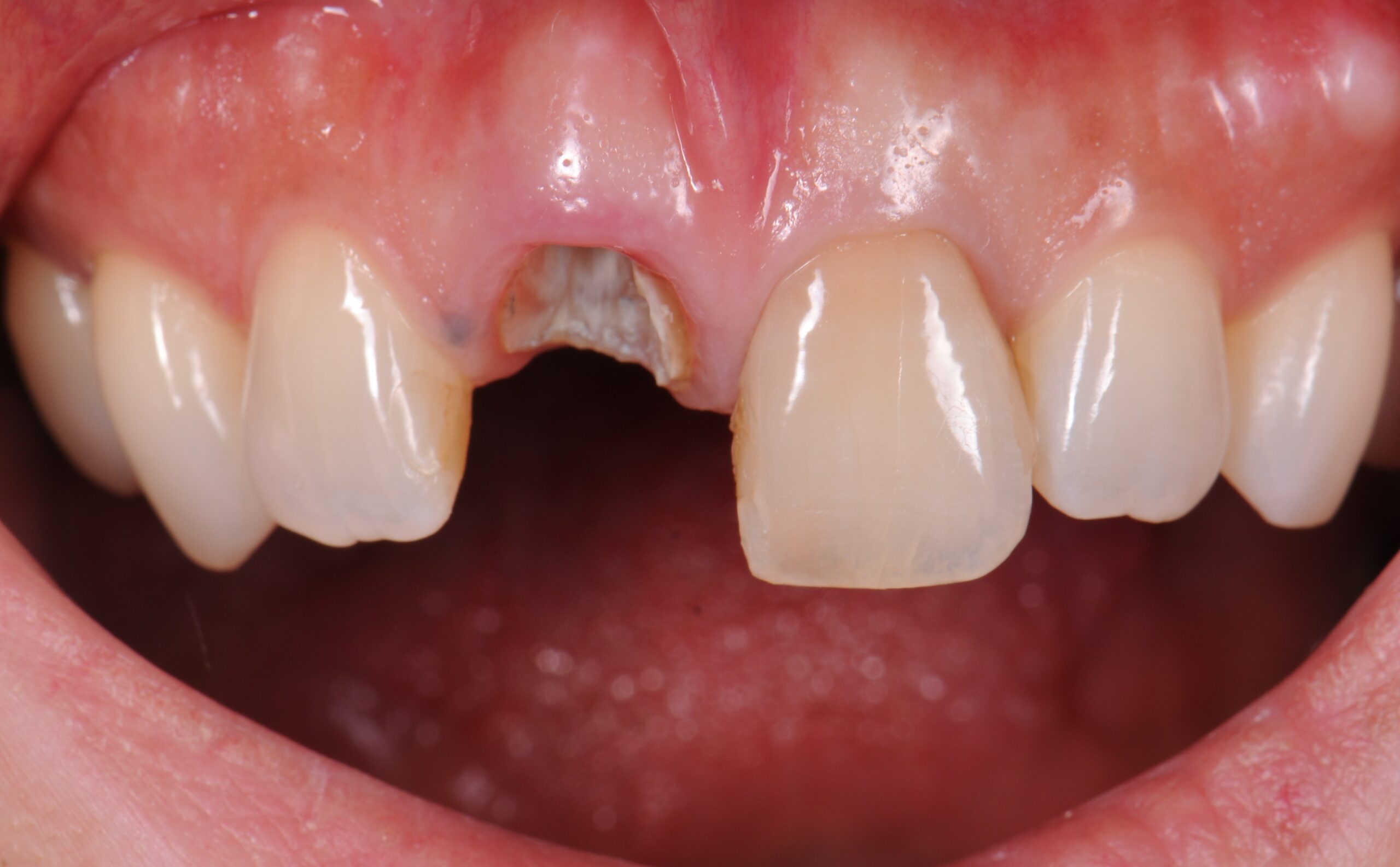
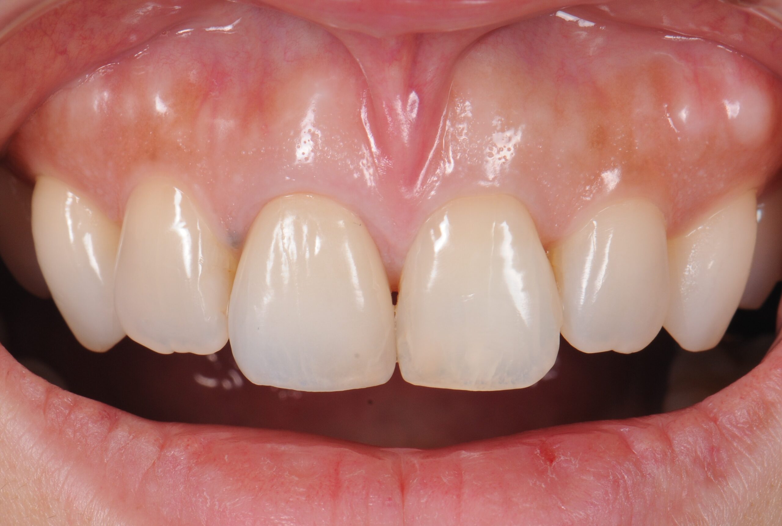
case1 症例(セラミッククラウン前歯)
治療前
治療中
治療後
| 費用(税込み) | 154,000円 |
|---|---|
| メリット・デメリット | デメリット 天然歯を削る必要がある。 |
| 治療回数 | 6ヵ月 |
| 主訴 | 前歯が黒い |
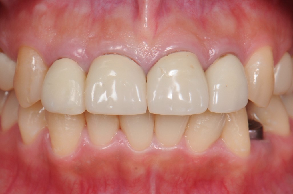
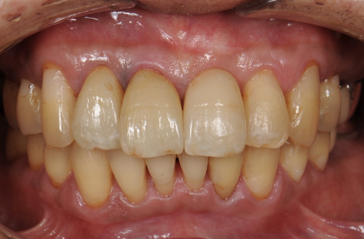
case2 症例(セラミッククラウン前歯)
治療前
治療後
| 費用(税込み) | 154,000円 |
|---|---|
| メリット・デメリット | デメリット 歯質を削合する必要がある |
| 治療回数 | 4-6回(根管治療は別) |
| 主訴 | 変色が気になる |
case3 症例(セラミッククラウン・ラミネートべニア前歯)
治療前
治療後
| 費用(税込み) | セラミッククラウン:154,000円×4本+ポンティック66,000円 |
|---|---|
| メリット・デメリット | 歯を削る歯質を削合する必要がある |
| 治療回数 | 5-6回(根管治療は別) |
| 主訴 | 歯の形態をきれいにしたい |
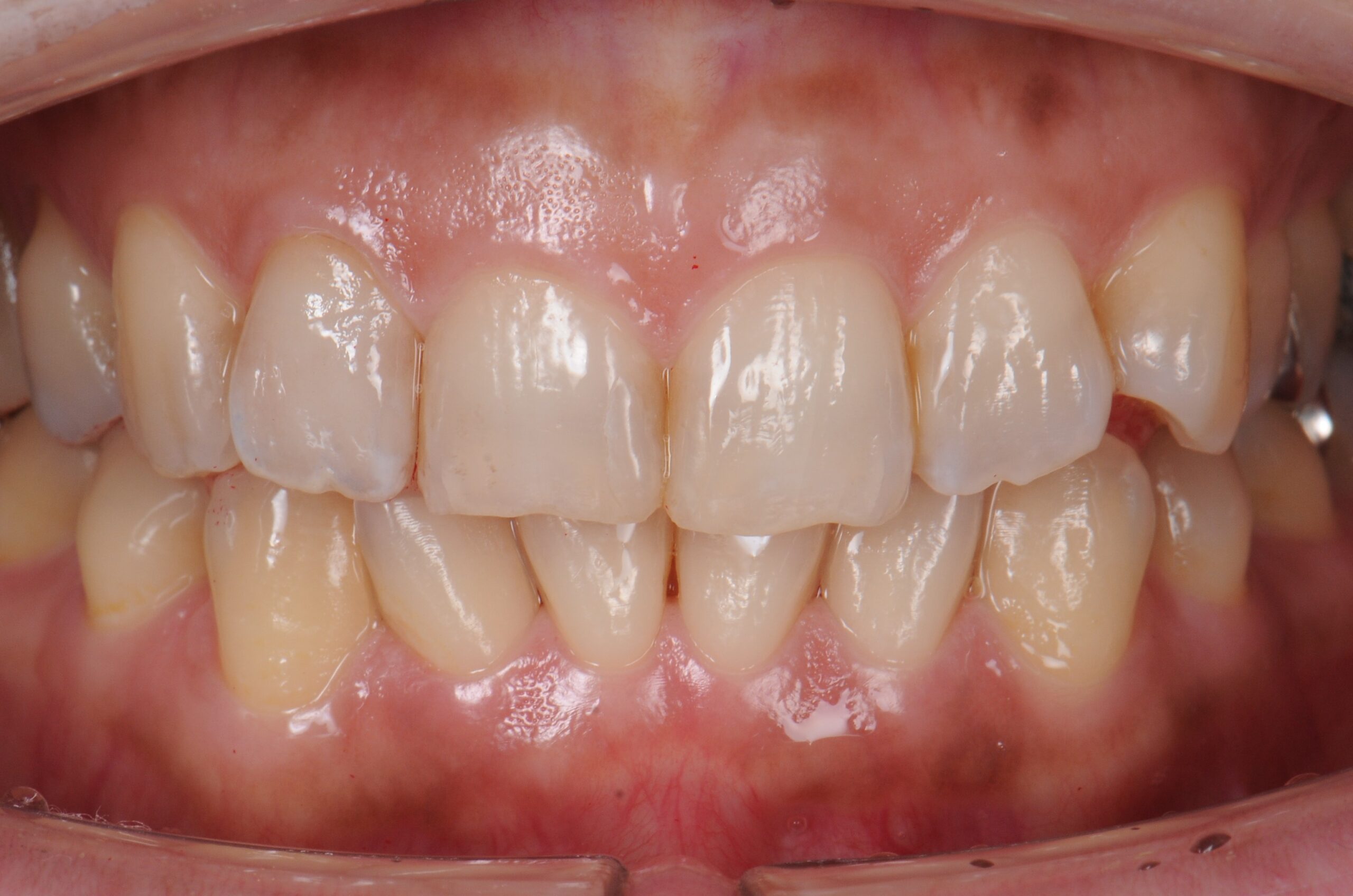
case4 症例(セラミッククラウン前歯)
治療前
治療後
| 費用(税込み) | 1本あたり154,000円×5本 |
|---|---|
| メリット・デメリット | デメリット 歯質を削合する必要がある |
| 治療回数 | 20回 |
| 主訴 | 歯の形態をきれいにしたい |
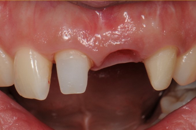
case5 症例(抜歯・歯周形成外科+セラミックブリッジ)
治療前
治療中
治療後
| 費用(税込み) | セラミック:154,000円×2本、ポンティック:77,000円 |
|---|---|
| メリット・デメリット | デメリット 歯質を削合する必要がある |
| 治療回数 | 7-8回(根管治療は別) |
| 主訴 | 歯肉が腫れた |
case6 症例(前歯部インプラント+ホワイトニング)
治療前
治療後
| 費用(税込み) | インプラント:550,000円、ホワイトニング:22,000円 |
|---|---|
| メリット・デメリット | デメリット 骨を削る必要がある |
| 治療回数 | 5-6回(根管治療はなし) |
| 主訴 | 差し歯が取れた |
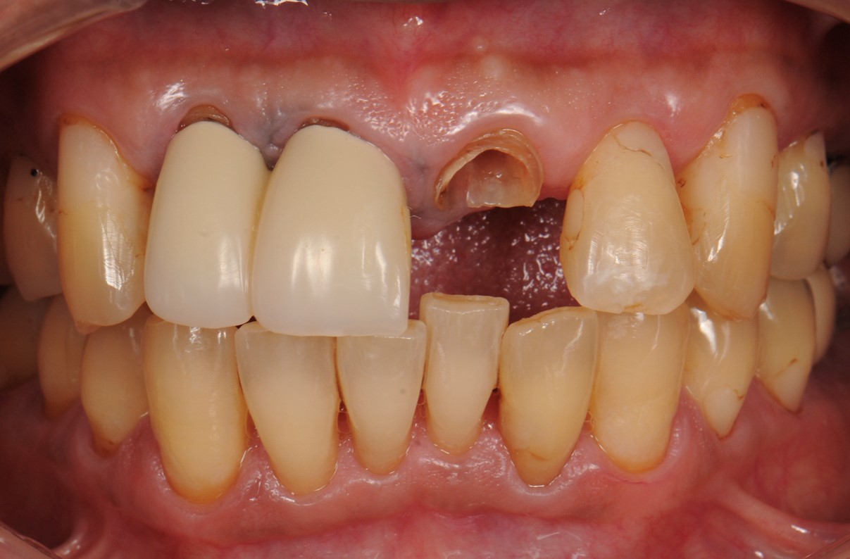
case7 症例(部分矯正+前歯部インプラント+セラミッククラウン)
治療前
治療後
| 費用(税込み) | インプラント:550,000円、セラミッククラウン154,000円 |
|---|---|
| メリット・デメリット | デメリット 歯質を削合する必要がある 骨を削ってインプラントを埋入 |
| 治療回数 | 7-8回(根管治療は別) |
| 主訴 | 差し歯が取れた |
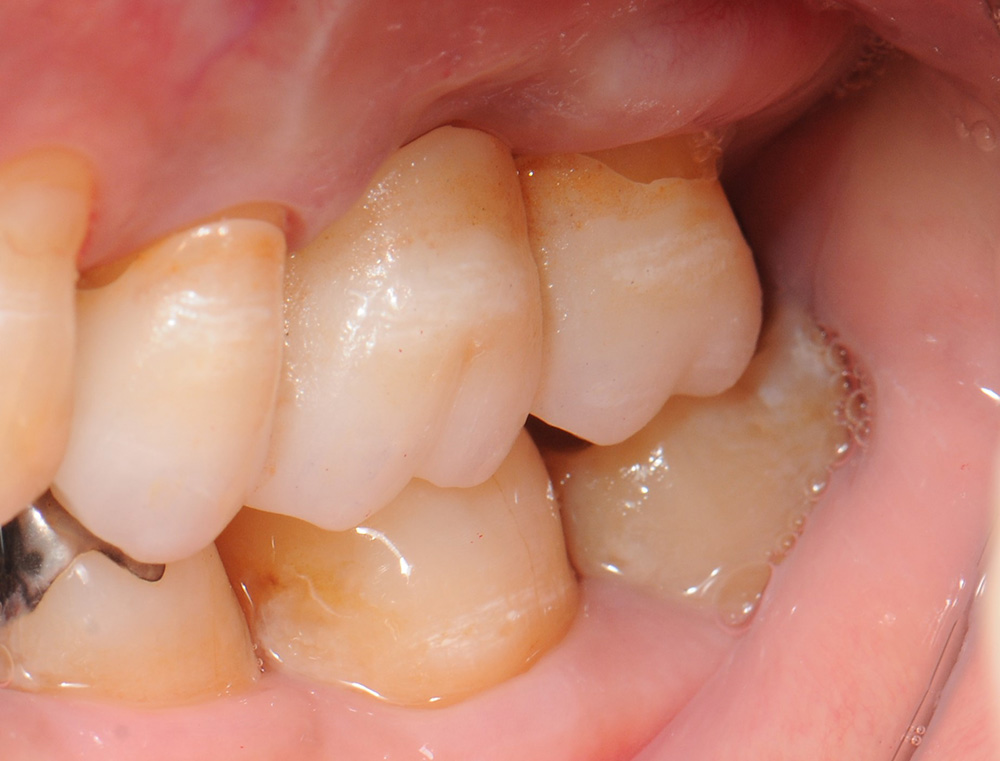
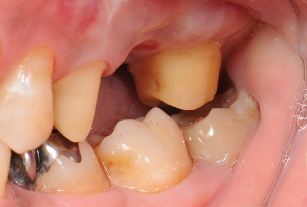
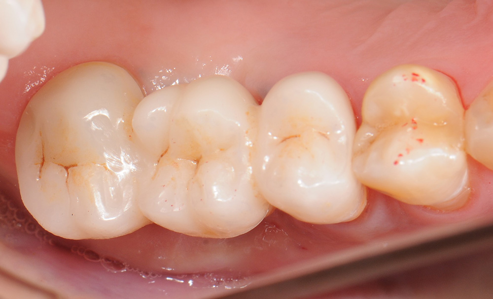
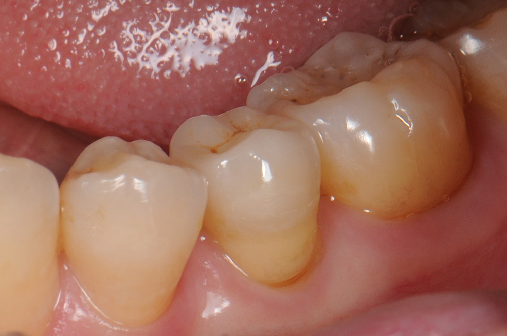
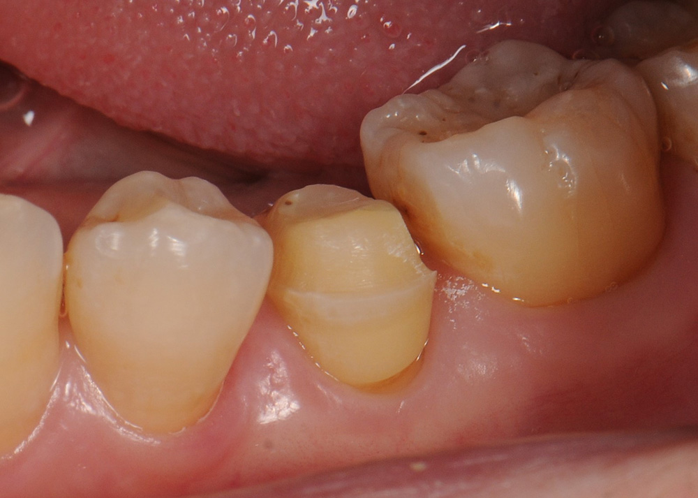
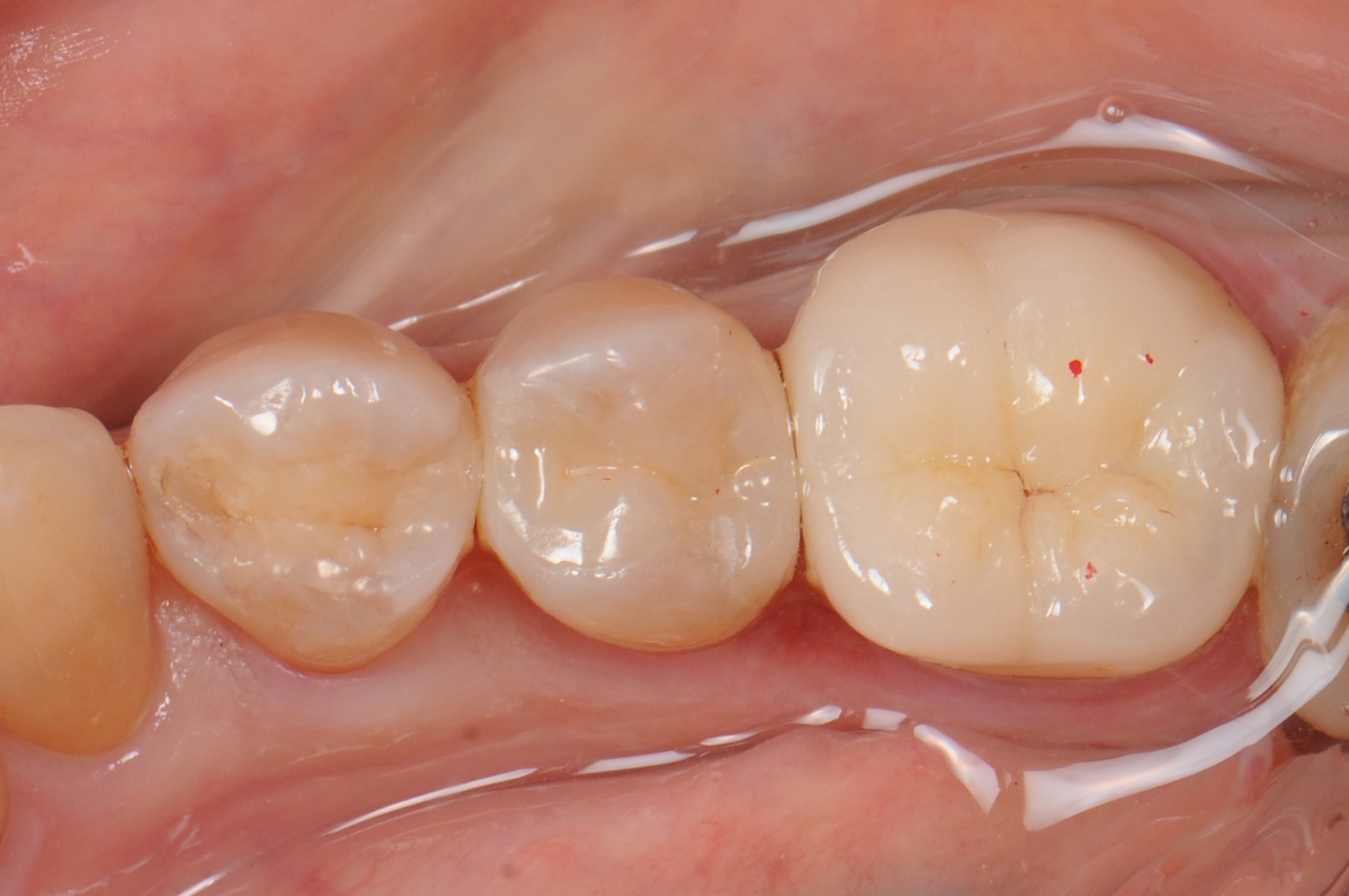
case8 症例(セラミックインレー・ダイレクトボンディング)
治療前
治療後
| 費用(税込み) | セラミックインレー:66,000円、ダイレクトボンディング:22,000円 |
|---|---|
| 治療回数 | 1歯につき3回 |
| 主訴 | 金属の修復物を白くししたい |
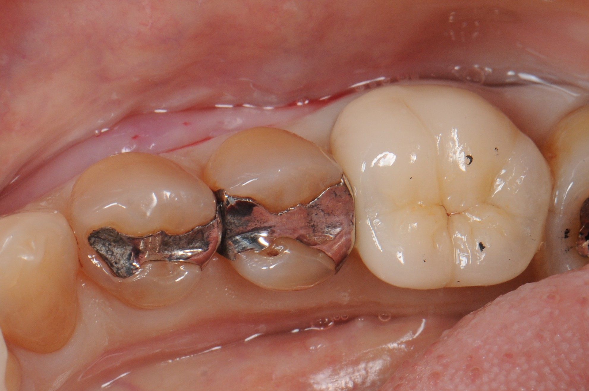
case9 症例(セラミックブリッジ)
治療前
治療後
| 費用(税込み) | 198,000円 |
|---|---|
| メリット・デメリット | 歯を削る、一時的に知覚過敏になる |
| 治療回数 | 5-6回(歯肉・仮歯の調整含む) |
| 主訴 | 奥歯が無い |
case10 症例(セラミックアンレー)
治療前
治療後
| 費用(税込み) | 132,000円 |
|---|---|
| メリット・デメリット | メリット 健全な歯質を削る量が少ない デメリット 歯質を削合する必要がある |
| 治療回数 | 3回(根管治療は別) |
| 主訴 | 奥歯が欠けた |
case11 症例(抜歯即時)
治療前
ケースによっては抜歯と同時にインプラントを埋入することで審美的な結果を得られることもあります。
治療後
| 治療期間 | 6ヵ月 |
|---|---|
| 治療費用 | 440,000円(税込) 検査料、手術料、上部構造全て込みの費用です。 |
| メリット | 天然歯を削らなくて良い |
| デメリット | 骨を削る、歯肉移植が必要 |
case12 症例(抜歯後待時埋入)
治療前
治療中
治療後
| 治療期間 | 12ヵ月 |
|---|---|
| 治療費用 | 870,000円(税込) インプラント2本+ポンティック、検査料、手術料、上部構造全て込みの費用です。 |
| メリット | 天然歯を削らなくて良い |
| デメリット | 骨を削る、歯肉移植が必要 |



